Thomas M

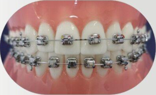
PASYWNY ZAMEK SAMOLIGATURUJĄCY

  • występujący jako zamek metalowy, w preskrypcji Roth i MBT
  • wykonany z wykorzystaniem zaawansowanej technologii
  • zamek o niewielkim kształcie i niskim profilu
  • posiadający dwa dodatkowe sloty: poziomy i pionowy
  • zintegrowana konstrukcja zapobiega osadzaniu się kamienia, co ułatwia obsługę zamka w trakcie trwania procesu leczenia
  • laserowo zgrzewana podstawa dla większej siły klejenia zamka
  • laserowe sygnatury podstaw dla łatwej identyfikacji
  • podstawy wyprofilowane do kształtu zęba
  • niezawodny i nieskomplikowany mechanizm zamykający
  • otwieranie zamka zawsze w kierunku okluzji poprzez przekręcenie narzędzia o 90°
  • narzędzie do otwierania zamków w zestawie
thomas tabela